
L’odontoiatria moderna ha fatto enormi passi avanti negli ultimi anni, grazie all’introduzione di tecnologie sempre più innovative e all’avanguardia. Tra queste, la radiologia digitale e la fotografia endorale hanno rivoluzionato il modo in cui i dentisti eseguono diagnosi e pianificano i trattamenti. Queste tecniche avanzate non solo offrono immagini di altissima qualità, ma riducono notevolmente l’esposizione del paziente alle radiazioni, garantendo una maggiore sicurezza e un’esperienza più confortevole durante le visite.
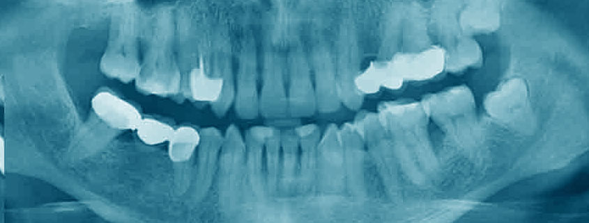
Radiologia Digitale:
La radiologia digitale rappresenta una vera e propria svolta nell’ambito dell’imaging odontoiatrico. Rispetto alla tradizionale radiologia analogica, questa tecnologia offre numerosi vantaggi:
Qualità Superiore delle Immagini
Le apparecchiature digitali di ultima generazione garantiscono immagini di altissima risoluzione, con una definizione ben superiore rispetto alle vecchie pellicole. Questo permette ai dentisti di ottenere una visione più dettagliata e accurata delle strutture dentali, facilitando così la diagnosi e la pianificazione dei trattamenti.
Riduzione delle Radiazioni
Grazie all’utilizzo di sensori digitali, la quantità di radiazioni emesse durante l’esame radiografico è notevolmente inferiore rispetto alla radiologia tradizionale. Questo si traduce in una maggiore sicurezza per il paziente, soprattutto in caso di esami ripetuti nel tempo.
Elaborazione e Archiviazione Digitale
Le immagini radiografiche vengono acquisite direttamente sul computer, consentendo un’immediata visualizzazione e un’agevole elaborazione. Inoltre, è possibile archiviare le immagini in formato digitale, facilitandone la consultazione e la condivisione con altri professionisti.
Rispetto per l’Ambiente
L’eliminazione dell’utilizzo di pellicole e sostanze chimiche per lo sviluppo rappresenta un importante passo avanti in termini di sostenibilità ambientale. La radiologia digitale riduce drasticamente l’impatto ecologico dello studio dentistico.
Radiografie Endorali: Uno Sguardo Ravvicinato sui Denti
Accanto alla radiologia digitale, un’altra tecnica di imaging fondamentale in odontoiatria è la radiografia endorale. Questa tipologia di esame permette di ottenere immagini dettagliate di uno o più denti, concentrandosi sulla loro struttura interna.
Cos’è una Radiografia Endorale?
La radiografia endorale, anche chiamata radiografia a mordente o radiografia periapicale, è un esame radiografico che consente di visualizzare in modo specifico l’anatomia di un singolo elemento dentale, dalla corona alla radice, incluso il tessuto gengivale circostante.
Come Viene Eseguita?
Per effettuare una radiografia endorale, il dentista posiziona una piccola lastrina fotosensibile all’interno della bocca del paziente, in corrispondenza del dente da esaminare. Il paziente viene invitato a mordere delicatamente sulla lastrina per mantenerla stabile durante l’esposizione ai raggi X. Grazie all’utilizzo di tecnologie digitali avanzate, l’immagine viene acquisita e visualizzata istantaneamente sul computer.
Vantaggi della Radiografia Endorale
Questa tecnica di imaging offre diversi vantaggi rispetto alle radiografie panoramiche:
- Permette di visualizzare in modo dettagliato la struttura interna di un singolo dente, facilitando diagnosi precise.
- Espone il paziente a una dose di radiazioni molto più bassa rispetto alle radiografie tradizionali.
- Consente di monitorare nel tempo l’evoluzione di una determinata condizione dentale.
- È particolarmente utile per la pianificazione di interventi di endodonzia, parodontologia e implantologia.
Pianificazione Implantare Guidata dal 3D
L’avvento della radiologia digitale ha rivoluzionato anche il campo dell’implantologia dentale, grazie all’integrazione di software dedicati per la pianificazione chirurgica.
Ricostruzione 3D e Pianificazione Computerizzata
Attraverso l’utilizzo di tecnologie a raggi X 3D, come la tomografia computerizzata cone beam (CBCT), è possibile ottenere una ricostruzione tridimensionale dell’arcata dentale del paziente. Questo consente ai dentisti di pianificare con estrema precisione il posizionamento, l’inclinazione e le dimensioni degli impianti da inserire nell’osso mandibolare o mascellare.
Guida Chirurgica Personalizzata
Sulla base della pianificazione computerizzata, vengono realizzate delle guide chirurgiche personalizzate, ovvero delle mascherine anatomiche perforate in corrispondenza dei siti di inserimento degli impianti. Queste guide consentono al chirurgo di seguire esattamente il piano prestabilito, garantendo un intervento minimamente invasivo e una maggiore predicibilità del risultato finale.
Vantaggi della Chirurgia Implantare Guidata
L’approccio digitale alla chirurgia implantare offre numerosi benefici, tra cui:
- Maggiore precisione nell’inserimento degli impianti.
- Riduzione dei tempi operatori e dello stress per il paziente.
- Possibilità di applicare i denti provvisori durante la stessa seduta chirurgica (carico immediato).
- Minore invasività dell’intervento grazie all’assenza di bisturi e punti di sutura.
Fotografia Intraorale: Uno Strumento di Comunicazione Essenziale
Oltre alle tecniche radiografiche, un altro elemento fondamentale nell’odontoiatria moderna è la fotografia intraorale. Questa pratica svolge un ruolo cruciale nella documentazione e nella comunicazione con il paziente.
Importanza della Documentazione Fotografica
La fotografia intraorale permette al dentista di documentare in modo dettagliato le condizioni del cavo orale del paziente, registrando l’evoluzione del trattamento e il risultato finale. Queste immagini rappresentano uno strumento prezioso per la diagnosi, la pianificazione del piano di cura e la comunicazione con il paziente.
Migliorare la Comunicazione con il Paziente
L’utilizzo di immagini fotografiche aiuta il dentista a spiegare in modo chiaro e visivo al paziente le sue condizioni dentali, le opzioni di trattamento disponibili e il risultato atteso. Questo approccio coinvolge maggiormente il paziente, rendendolo più consapevole e partecipe del proprio percorso terapeutico.
Software per la Motivazione del Paziente
Esistono anche specifici software che integrano fotografie e video dimostrativi, permettendo ai dentisti di illustrare in modo ancora più efficace le procedure previste e le fasi del trattamento. Questo aiuta a informare meglio il paziente e a indirizzarlo verso la scelta più adeguata per il suo caso.
L’Evoluzione della Radiologia e della Fotografia in Odontoiatria
L’introduzione della radiologia digitale e della fotografia intraorale ha rappresentato una vera e propria rivoluzione nell’ambito dell’odontoiatria moderna. Queste tecnologie avanzate offrono numerosi vantaggi, sia per i professionisti che per i pazienti:
- Immagini di altissima qualità e risoluzione, che facilitano diagnosi accurate.
- Riduzione dell’esposizione alle radiazioni, garantendo maggiore sicurezza per il paziente.
- Possibilità di archiviazione e condivisione digitale delle immagini.
- Maggiore efficienza e rispetto per l’ambiente, grazie all’eliminazione di pellicole e sostanze chimiche.
- Strumenti di comunicazione visiva essenziali per coinvolgere il paziente e migliorare la comprensione del piano di trattamento.
Queste innovazioni tecnologiche hanno profondamente trasformato l’approccio diagnostico e terapeutico in odontoiatria, elevando gli standard di cura e offrendo ai pazienti un’esperienza di trattamento più sicura, confortevole e personalizzata.
Radiografia Digitale: Vantaggi e Considerazioni Pratiche
La radiografia digitale rappresenta un’evoluzione significativa rispetto alla tradizionale radiologia analogica. Vediamo nel dettaglio i principali vantaggi di questa tecnologia:
Qualità Superiore delle Immagini
I sensori digitali utilizzati nella radiografia digitale consentono di ottenere immagini ad altissima risoluzione, con una definizione di gran lunga superiore rispetto alle pellicole. Questo permette ai dentisti di visualizzare in modo più dettagliato le strutture dentali, facilitando diagnosi accurate.
Riduzione delle Radiazioni
Grazie all’utilizzo di sensori digitali, la quantità di radiazioni emesse durante l’esame radiografico è notevolmente inferiore rispetto alla radiologia tradizionale. Questo rappresenta un importante vantaggio in termini di sicurezza per il paziente.
Elaborazione e Archiviazione Digitale
Le immagini radiografiche vengono acquisite direttamente sul computer, consentendo un’immediata visualizzazione e un’agevole elaborazione. Inoltre, è possibile archiviare le immagini in formato digitale, facilitandone la consultazione e la condivisione con altri professionisti.
Rispetto per l’Ambiente
L’eliminazione dell’utilizzo di pellicole e sostanze chimiche per lo sviluppo rappresenta un importante passo avanti in termini di sostenibilità ambientale. La radiologia digitale riduce drasticamente l’impatto ecologico dello studio dentistico.
Considerazioni Pratiche
Nonostante i numerosi vantaggi, l’adozione della radiologia digitale comporta anche alcune considerazioni pratiche:
- Investimento iniziale: l’acquisto delle apparecchiature digitali richiede un investimento iniziale più elevato rispetto alla radiologia tradizionale.
- Formazione del personale: il persondello studio deve essere adeguatamente formato per l’utilizzo delle nuove tecnologie.
- Compatibilità con il software dello studio: è necessario verificare la compatibilità dei sistemi digitali con il software gestionale dello studio.
Tuttavia, i benefici a lungo termine in termini di qualità delle immagini, sicurezza del paziente e sostenibilità ambientale rendono la radiologia digitale un investimento altamente vantaggioso per gli studi odontoiatrici.
Radiografie Endorali: Uno Strumento Diagnostico Prezioso
Le radiografie endorali, anche conosciute come radiografie a mordente o radiografie periapicali, rappresentano uno strumento diagnostico fondamentale in odontoiatria.
Cos’è una Radiografia Endorale?
La radiografia endorale è un esame radiografico che permette di visualizzare in modo dettagliato la struttura interna di uno o più denti, dalla corona alla radice, incluso il tessuto gengivale circostante.
Come Viene Eseguita?
Per effettuare una radiografia endorale, il dentista posiziona una piccola lastrina fotosensibile all’interno della bocca del paziente, in corrispondenza del dente da esaminare. Il paziente viene invitato a mordere delicatamente sulla lastrina per mantenerla stabile durante l’esposizione ai raggi X. Grazie all’utilizzo di tecnologie digitali avanzate, l’immagine viene acquisita e visualizzata istantaneamente sul computer.
Vantaggi delle Radiografie Endorali
Questa tecnica di imaging offre diversi vantaggi rispetto alle radiografie panoramiche:
- Permette di visualizzare in modo dettagliato la struttura interna di un singolo dente, facilitando diagnosi precise.
- Espone il paziente a una dose di radiazioni molto più bassa rispetto alle radiografie tradizionali.
- Consente di monitorare nel tempo l’evoluzione di una determinata condizione dentale.
- È particolarmente utile per la pianificazione di interventi di endodonzia, parodontologia e implantologia.
Quando Vengono Utilizzate?
Le radiografie endorali sono comunemente impiegate in diverse situazioni, tra cui:
- Prima di una devitalizzazione, per valutare il numero e la forma delle radici.
- All’inizio di una terapia parodontale, per valutare la quantità di osso perso e la forma delle tasche intraossee.
- Per verificare la presenza di carie di difficile individuazione durante l’esame clinico.
- Per controllare l’esito di procedure odontoiatriche effettuate.
Grazie alla loro precisione e alla ridotta esposizione alle radiazioni, le radiografie endorali rappresentano uno strumento diagnostico prezioso per il dentista.
Pianificazione Implantare Guidata dal 3D: La Rivoluzione dell’Implantologia
L’avvento della radiologia digitale, in particolare della tomografia computerizzata cone beam (CBCT), ha rivoluzionato anche il campo dell’implantologia dentale, permettendo una pianificazione chirurgica estremamente precisa.
Ricostruzione 3D dell’Arcata Dentale
Attraverso l’utilizzo di tecnologie a raggi X 3D, i dentisti possono ottenere una ricostruzione tridimensionale dettagliata dell’arcata dentale del paziente. Questo consente loro di pianificare con estrema precisione il posizionamento, l’inclinazione e le dimensioni degli impianti da inserire nell’osso mandibolare o mascellare.
Guida Chirurgica Personalizzata
Sulla base della pianificazione computerizzata, vengono realizzate delle guide chirurgiche personalizzate, ovvero delle mascherine anatomiche perforate in corrispondenza dei siti di inserimento degli impianti. Queste guide consentono al chirurgo di seguire esattamente il piano prestabilito, garantendo un intervento minimamente invasivo e una maggiore predicibilità del risultato finale.
Vantaggi della Chirurgia Implantare Guidata
L’approccio digitale alla chirurgia implantare offre numerosi benefici, tra cui:
- Maggiore precisione nell’inserimento degli impianti.
- Riduzione dei tempi operatori e dello stress per il paziente.
- Possibilità di applicare i denti provvisori durante la stessa seduta chirurgica (carico immediato).
- Minore invasività dell’intervento grazie all’assenza di bisturi e punti di sutura.
Grazie a queste tecnologie avanzate, l’implantologia dentale ha compiuto un importante passo in avanti, offrendo ai pazienti trattamenti più sicuri, efficaci e con una minore invasività.
Fotografia Intraorale: Un Prezioso Strumento di Comunicazione
Oltre alle tecniche radiografiche, un altro elemento fondamentale nell’odontoiatria moderna è la fotografia intraorale. Questa pratica svolge un ruolo cruciale nella documentazione e nella comunicazione con il paziente.
Importanza della Documentazione Fotografica
La fotografia intraorale permette al dentista di documentare Fotografica permette al dentista di documentare in modo dettagliato le condizioni del cavo orale del paziente, registrando l’evoluzione del trattamento e il risultato finale. Queste immagini rappresentano uno strumento prezioso per la diagnosi, la pianificazione del piano di cura e la comunicazione con il paziente.
Migliorare la Comunicazione con il Paziente
L’utilizzo di immagini fotografiche aiuta il dentista a spiegare in modo chiaro e visivo al paziente le sue condizioni dentali, le opzioni di trattamento disponibili e il risultato atteso. Questo approccio coinvolge maggiormente il paziente, rendendolo più consapevole e partecipe del proprio percorso terapeutico.
Software per la Motivazione del Paziente
Esistono anche specifici software che integrano fotografie e video dimostrativi, permettendo ai dentisti di illustrare in modo ancora più efficace le procedure previste e le fasi del trattamento. Questo aiuta a informare meglio il paziente e a indirizzarlo verso la scelta più adeguata per il suo caso.
L’Evoluzione della Radiologia e della Fotografia in Odontoiatria
L’introduzione della radiologia digitale e della fotografia intraorale ha rappresentato una vera e propria rivoluzione nell’ambito dell’odontoiatria moderna. Queste tecnologie avanzate offrono numerosi vantaggi, sia per i professionisti che per i pazienti:
- Immagini di altissima qualità e risoluzione, che facilitano diagnosi accurate.
- Riduzione dell’esposizione alle radiazioni, garantendo maggiore sicurezza per il paziente.
- Possibilità di archiviazione e condivisione digitale delle immagini.
- Maggiore efficienza e rispetto per l’ambiente, grazie all’eliminazione di pellicole e sostanze chimiche.
- Strumenti di comunicazione visiva essenziali per coinvolgere il paziente e migliorare la comprensione del piano di trattamento.
Queste innovazioni tecnologiche hanno profondamente trasformato l’approccio diagnostico e terapeutico in odontoiatria, elevando gli standard di cura e offrendo ai pazienti un’esperienza di trattamento più sicura, confortevole e personalizzata.
Radiografia Digitale: Vantaggi e Considerazioni Pratiche
La radiografia digitale rappresenta un’evoluzione significativa rispetto alla tradizionale radiologia analogica. Vediamo nel dettaglio i principali vantaggi di questa tecnologia:
Qualità Superiore delle Immagini
I sensori digitali utilizzati nella radiografia digitale consentono di ottenere immagini ad altissima risoluzione, con una definizione di gran lunga superiore rispetto alle pellicole. Questo permette ai dentisti di visualizzare in modo più dettagliato le strutture dentali, facilitando diagnosi accurate.
Riduzione delle Radiazioni
Grazie all’utilizzo di sensori digitali, la quantità di radiazioni emesse durante l’esame radiografico è notevolmente inferiore rispetto alla radiologia tradizionale. Questo rappresenta un importante vantaggio in termini di sicurezza per il paziente.
Elaborazione e Archiviazione Digitale
Le immagini radiografiche vengono acquisite direttamente sul computer, consentendo un’immediata visualizzazione e un’agevole elaborazione. Inoltre, è possibile archiviare le immagini in formato digitale, facilitandone la consultazione e la condivisione con altri professionisti.
Rispetto per l’Ambiente
L’eliminazione dell’utilizzo di pellicole e sostanze chimiche per lo sviluppo rappresenta un importante passo avanti in termini di sostenibilità ambientale. La radiologia digitale riduce drasticamente l’impatto ecologico dello studio dentistico.
Considerazioni Pratiche
Nonostante i numerosi vantaggi, l’adozione della radiologia digitale comporta anche alcune considerazioni pratiche:
- Investimento iniziale: l’acquisto delle apparecchiature digitali richiede un investimento iniziale più elevato rispetto alla radiologia tradizionale.
- Formazione del personale: il persondello studio deve essere adeguatamente formato per l’utilizzo delle nuove tecnologie.
- Compatibilità con il software dello studio: è necessario verificare la compatibilità dei sistemi digitali con il software gestionale dello studio.
Tuttavia, i benefici a lungo termine in termini di qualità delle immagini, sicurezza del paziente e sostenibilità ambientale rendono la radiologia digitale un investimento altamente vantaggioso per gli studi odontoiatrici.
Radiografie Endorali: Uno Strumento Diagnostico Prezioso
Le radiografie endorali, anche conosciute come radiografie a mordente o radiografie periapicali, rappresentano uno strumento diagnostico fondamentale in odontoiatria.
Cos’è una Radiografia Endorale?
La radiografia endorale è un esame radiografico che permette di visualizzare in modo dettagliato la struttura interna di uno o più denti, dalla corona alla radice, incluso il tessuto gengivale circostante.
Come Viene Eseguita?
Per effettuare una radiografia endorale, il dentista posiziona una piccola lastrina fotosensibile all’interno della bocca del paziente, in corrispondenza del dente da esaminare. Il paziente viene invitato a mordere delicatamente sulla lastrina per mantenerla stabile durante l’esposizione ai raggi X. Grazie all’utilizzo di tecnologie digitali avanzate, l’immagine viene acquisita e visualizzata istantaneamente sul computer.
Vantaggi delle Radiografie Endorali
Questa tecnica di imaging offre diversi vantaggi rispetto alle radiografie panoramiche:
- Permette di visualizzare in modo dettagliato la struttura interna di un singolo dente, facilitando diagnosi precise.
- Espone il paziente a una dose di radiazioni molto più bassa rispetto alle radiografie tradizionali.
- Consente di monitorare nel tempo l’evoluzione di una determinata condizione dentale.
- È particolarmente utile per la pianificazione di interventi di endodonzia, parodontologia e implantologia.
Quando Vengono Utilizzate?
Le radiografie endorali sono comunemente impiegate in diverse situazioni, tra cui:
- Prima di una devitalizzazione, per valutare il numero e la forma delle radici.
- All’inizio di una terapia parodontale, per valutare la quantità di osso perso e la forma delle tasche intraossee.
- Per verificare la presenza di carie di difficile individuazione durante l’esame clinico.
- Per controllare l’esito di procedure odontoiatriche effettuate.
Grazie alla loro precisione e alla ridotta esposizione alle radiazioni, le radiografie endorali rappresentano uno strumento diagnostico prezioso per il dentista.
Pianificazione Implantare Guidata dal 3D: La Rivoluzione dell’Implantologia
L’avvento della radiologia digitale, in particolare della tomografia computerizzata cone beam (CBCT), ha rivoluzionato anche il campo dell’implantologia dentale, permettendo una pianificazione chirurgica estremamente precisa.
Ricostruzione 3D dell’Arcata Dentale
Attraverso l’utilizzo di tecnologie a raggi X 3D, i dentisti possono ottenere una ricostruzione tridimensionale dettagliata dell’arcata dentale del paziente. Questo consente loro di pianificare con estrema precisione il posizionamento, l’inclinazione e le dimensioni degli impianti da inserire nell’osso mandibolare o mascellare.
Guida Chirurgica Personalizzata
Sulla base della pianificazione computerizzata, vengono realizzate delle guide chirurgiche personalizzate, ovvero delle mascherine anatomiche perforate in corrispondenza dei siti di inserimento degli impianti. Queste guide consentono al chirurgo di seguire esattamente il piano prestabilito, garantendo un intervento minimamente invasivo e una maggiore predicibilità del risultato finale.
Vantaggi della Chirurgia Implantare Guidata
L’approccio digitale alla chirurgia implantare offre numerosi benefici, tra cui:
- Maggiore precisione nell’inserimento degli impianti.
- Riduzione dei tempi operatori e dello stress per il paziente.
- Possibilità di applicare i denti provvisori durante la stessa seduta chirurgica (carico immediato).
- Minore invasività dell’intervento grazie all’assenza di bisturi e punti di sutura.
Grazie a queste tecnologie avanzate, l’implantologia dentale ha compiuto un importante passo in avanti, offrendo ai pazienti trattamenti più sicuri, efficaci e con una minore invasività.
Conclusioni
L’introduzione della radiologia digitale e della fotografia intraorale ha rappresentato una vera e propria rivoluzione nell’ambito dell’odontoiatria moderna. Queste innovative tecnologie offrono numerosi vantaggi, sia per i professionisti che per i pazienti:
- Immagini di altissima qualità e risoluzione, che facilitano diagnosi accurate.
- Riduzione dell’esposizione alle radiazioni, garantendo maggiore sicurezza per il paziente.
- Possibilità di archiviazione e condivisione digitale delle immagini.
- Maggiore efficienza e rispetto per l’ambiente, grazie all’eliminazione di pellicole e sostanze chimiche.
- Strumenti di comunicazione visiva essenziali per coinvolgere il paziente e migliorare la comprensione del piano di trattamento.
Queste innovazioni tecnologiche hanno profondamente trasformato l’approccio diagnostico e terapeutico in odontoiatria, elevando gli standard di cura e offrendo ai pazienti un’esperienza di trattamento più sicura, confortevole e personalizzata
